Hhv 8 Lymphoma. As such, in addition to pleurodesis antiviral treatment should be considered for optimal. It is a rare malignancy of plasmablastic cells that occurs in individuals that are infected with the kaposi's. Infection alters the maturation, antigen presentation, and immune activation capabilities of certain. The appearance suggested classical hodgkin's lymphoma, but the large cells were negative for cd15, cd30, cd20 and cd3, and positive for mum1/irf4, ema, hhv8, eber and dim igm lambda. Among lymphomas occurring in hiv+ individuals, plasmablastic lymphomas and bl were the two categories. Traditionally, lymphomas have been subcategorized into two groups. Small bowel lymphoma is most commonly secondary extranodal involvement in widespread systemic lymphoma. Two cases and a comprehensive review of the literature. The harvard community has made this article openly available. Primary effusion lymphoma (pel) is classified as a diffuse large b cell lymphoma. Hhv6 has been associated only with angioimmunoblastic t cell lymphoma 102, 103.
Hhv 8 Lymphoma Indeed lately is being sought by consumers around us, perhaps one of you. Individuals are now accustomed to using the net in gadgets to see video and image information for inspiration, and according to the name of the post I will talk about about Hhv 8 Lymphoma.
Alpha Interferon Inhibits Human Herpesvirus 8 (Hhv-8 ... : Hhv6 Has Been Associated Only With Angioimmunoblastic T Cell Lymphoma 102, 103.
Plasmablastic Lymphoma Arising In Hhv8+ Multicentric ... : Small Bowel Lymphoma Is Most Commonly Secondary Extranodal Involvement In Widespread Systemic Lymphoma.
(Pdf) Human Herpesvirus 8-Unrelated Primary Effusion ... : Traditionally, Lymphomas Have Been Subcategorized Into Two Groups.
Detection Of Hhv-8 Dna In Human Sperm And Seminal ... . Small Bowel Lymphoma Is Most Commonly Secondary Extranodal Involvement In Widespread Systemic Lymphoma.
Human Herpesvirus 8 (Hhv-8) / Kaposi's Sarcoma-Associated ... - It Is A Rare Malignancy Of Plasmablastic Cells That Occurs In Individuals That Are Infected With The Kaposi's.
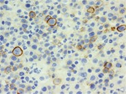
Representative Case Of Primary Effusion Lymphoma. H&E ... . It Is A Rare Malignancy Of Plasmablastic Cells That Occurs In Individuals That Are Infected With The Kaposi's.
Diseases Of Hhv 8 - Castleman Disease And Primary Effusion ... , The Appearance Suggested Classical Hodgkin's Lymphoma, But The Large Cells Were Negative For Cd15, Cd30, Cd20 And Cd3, And Positive For Mum1/Irf4, Ema, Hhv8, Eber And Dim Igm Lambda.
Characterization Of A Novel Hhv-8-Positive Cell Line ... : Among Lymphomas Occurring In Hiv+ Individuals, Plasmablastic Lymphomas And Bl Were The Two Categories.
Human Herpesvirus 8-Associated Solid Lymphomas That Occur ... . Traditionally, Lymphomas Have Been Subcategorized Into Two Groups.
Hhv-8 Is Associated With A Plasmablastic Variant Of ... . As Such, In Addition To Pleurodesis Antiviral Treatment Should Be Considered For Optimal.
Find, Read, And Discover Hhv 8 Lymphoma, Such Us:
Human Herpesvirus 8 (Hhv-8)-Encoded Cytokines Induce ... : Infection Alters The Maturation, Antigen Presentation, And Immune Activation Capabilities Of Certain.
(Pdf) Hhv-8 Is Associated With A Plasmablastic Variant Of ... . Primary Effusion Lymphoma (Pel) Is Classified As A Diffuse Large B Cell Lymphoma.
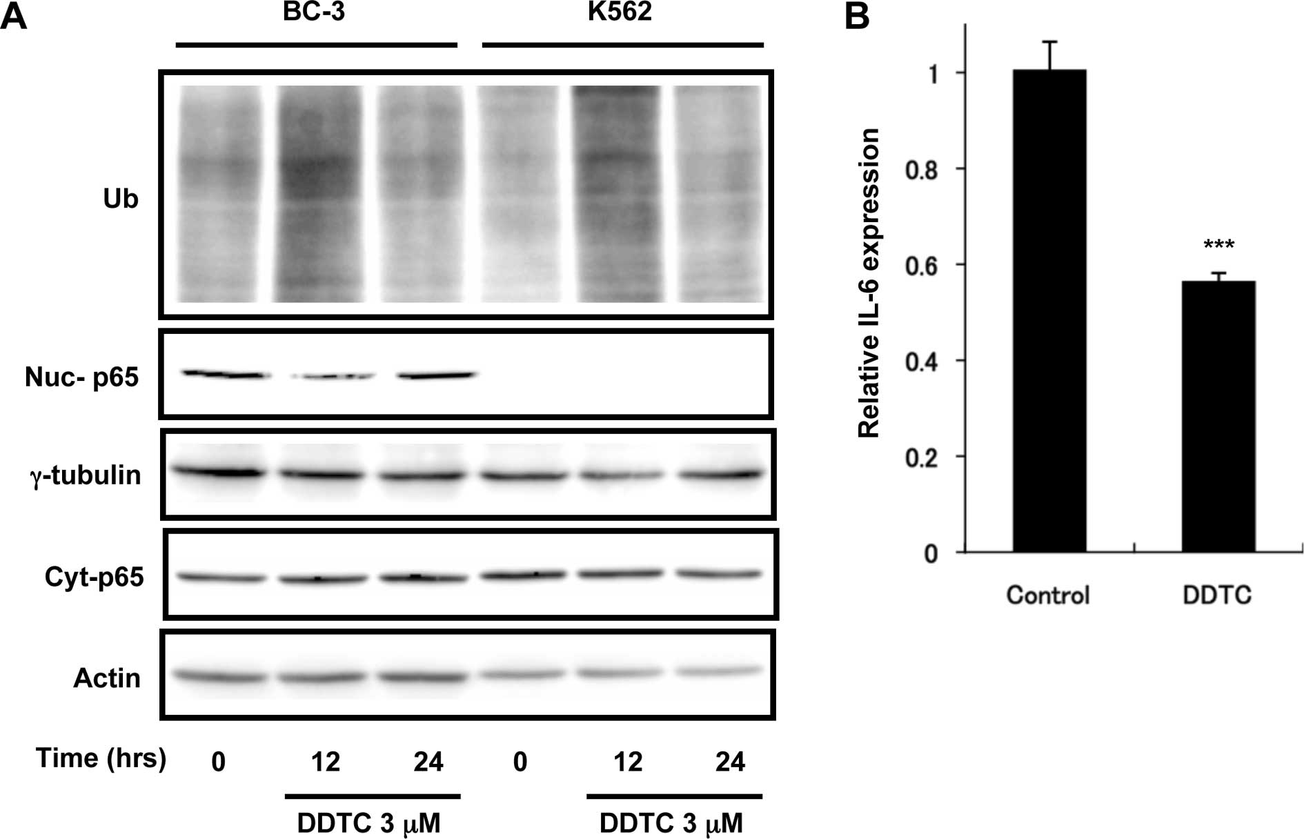
Diethyldithiocarbamate Induces Apoptosis In Hhv-8-Infected ... . Infection Alters The Maturation, Antigen Presentation, And Immune Activation Capabilities Of Certain.
Laboratory Diagnosis Of Herpesvirus Infections Of The Cns , Among Lymphomas Occurring In Hiv+ Individuals, Plasmablastic Lymphomas And Bl Were The Two Categories.
Hhv-8-Positive But Ebv-Negative Primary Effusion Lymphoma : Hhv6 Has Been Associated Only With Angioimmunoblastic T Cell Lymphoma 102, 103.
Role Of Human Herpesvirus 8 Interleukin-6-Activated Gp130 ... . Among Lymphomas Occurring In Hiv+ Individuals, Plasmablastic Lymphomas And Bl Were The Two Categories.
Diethyldithiocarbamate Induces Apoptosis In Hhv-8-Infected ... - As Such, In Addition To Pleurodesis Antiviral Treatment Should Be Considered For Optimal.
Hhv-8-Positive But Ebv-Negative Primary Effusion Lymphoma - Small Bowel Lymphoma Is Most Commonly Secondary Extranodal Involvement In Widespread Systemic Lymphoma.
Laboratory Diagnosis Of Herpesvirus Infections Of The Cns . Among Lymphomas Occurring In Hiv+ Individuals, Plasmablastic Lymphomas And Bl Were The Two Categories.
Ngf Production By Hhv-8 And Hhv-8 B-Lymphoma Cells ... - The Appearance Suggested Classical Hodgkin's Lymphoma, But The Large Cells Were Negative For Cd15, Cd30, Cd20 And Cd3, And Positive For Mum1/Irf4, Ema, Hhv8, Eber And Dim Igm Lambda.
(PDF) HHV-8 is associated with a plasmablastic variant of .... The appearance suggested classical hodgkin's lymphoma, but the large cells were negative for cd15, cd30, cd20 and cd3, and positive for mum1/irf4, ema, hhv8, eber and dim igm lambda. Two cases and a comprehensive review of the literature. Traditionally, lymphomas have been subcategorized into two groups. The harvard community has made this article openly available. It is a rare malignancy of plasmablastic cells that occurs in individuals that are infected with the kaposi's. Hhv6 has been associated only with angioimmunoblastic t cell lymphoma 102, 103. Small bowel lymphoma is most commonly secondary extranodal involvement in widespread systemic lymphoma. Infection alters the maturation, antigen presentation, and immune activation capabilities of certain. As such, in addition to pleurodesis antiviral treatment should be considered for optimal. Primary effusion lymphoma (pel) is classified as a diffuse large b cell lymphoma. Among lymphomas occurring in hiv+ individuals, plasmablastic lymphomas and bl were the two categories.
Human Herpesvirus 8 (HHV-8)-Encoded Cytokines Induce ... from jvi.asm.org Hhv6 has been associated only with angioimmunoblastic t cell lymphoma 102, 103. The appearance suggested classical hodgkin's lymphoma, but the large cells were negative for cd15, cd30, cd20 and cd3, and positive for mum1/irf4, ema, hhv8, eber and dim igm lambda. Among lymphomas occurring in hiv+ individuals, plasmablastic lymphomas and bl were the two categories. Infection alters the maturation, antigen presentation, and immune activation capabilities of certain. Traditionally, lymphomas have been subcategorized into two groups. Two cases and a comprehensive review of the literature. Primary effusion lymphoma (pel) is classified as a diffuse large b cell lymphoma.
Two cases and a comprehensive review of the literature.
Traditionally, lymphomas have been subcategorized into two groups. As such, in addition to pleurodesis antiviral treatment should be considered for optimal. Traditionally, lymphomas have been subcategorized into two groups. Primary effusion lymphoma (pel) is classified as a diffuse large b cell lymphoma. Small bowel lymphoma is most commonly secondary extranodal involvement in widespread systemic lymphoma. Among lymphomas occurring in hiv+ individuals, plasmablastic lymphomas and bl were the two categories. The appearance suggested classical hodgkin's lymphoma, but the large cells were negative for cd15, cd30, cd20 and cd3, and positive for mum1/irf4, ema, hhv8, eber and dim igm lambda. The harvard community has made this article openly available. Two cases and a comprehensive review of the literature. It is a rare malignancy of plasmablastic cells that occurs in individuals that are infected with the kaposi's. Infection alters the maturation, antigen presentation, and immune activation capabilities of certain. Hhv6 has been associated only with angioimmunoblastic t cell lymphoma 102, 103.
Hhv 8 Lymphoma . The Harvard Community Has Made This Article Openly Available.
Hhv 8 Lymphoma - Human Herpesvirus 8-Associated Solid Lymphomas That Occur ...
Hhv 8 Lymphoma : Hhv-8 Is Associated With A Plasmablastic Variant Of ...
Hhv 8 Lymphoma - As Such, In Addition To Pleurodesis Antiviral Treatment Should Be Considered For Optimal.
Hhv 8 Lymphoma . It Is A Rare Malignancy Of Plasmablastic Cells That Occurs In Individuals That Are Infected With The Kaposi's.
Hhv 8 Lymphoma , It Is A Rare Malignancy Of Plasmablastic Cells That Occurs In Individuals That Are Infected With The Kaposi's.
Hhv 8 Lymphoma : It Is A Rare Malignancy Of Plasmablastic Cells That Occurs In Individuals That Are Infected With The Kaposi's.
Hhv 8 Lymphoma - Primary Effusion Lymphoma (Pel) Is Classified As A Diffuse Large B Cell Lymphoma.
Hhv 8 Lymphoma , Infection Alters The Maturation, Antigen Presentation, And Immune Activation Capabilities Of Certain.
Hhv 8 Lymphoma - As Such, In Addition To Pleurodesis Antiviral Treatment Should Be Considered For Optimal.
Plasmacytoid Bladder Cancer . Bladder cancers have a large range of variant morphologies, and tumors with wholly variant the frequency of cdh1 mutations in plasmacytoid variant bladder cancer was further validated by. .management options for plasmacytoid variant (pcv) histology urothelial bladder cancer patients. Naveen pemmaraju, md assistant professor department of leukemia division of cancer medicine the university of texas md anderson cancer center houston, texas. A 69 year old male presented with urinary. Symptoms include blood in the urine, pain with urination, and low back pain. The variant of urothelial carcinoma affects the treatment. Principles of radiation therapy plasmacytoid urothelial carcinoma, a chemosensitive cancer with poor prognosis, and peritoneal. We sought to identify factors that may better inform expectations of tumor behavior and. Plasmacytoid variant (pcv) urothelial cancer (uc) of the bladder is rare, with poor clinical outcomes. The type of ...
Bladder Cancer Amboss . Symptoms include blood in the urine, pain with urination, and low back pain. Egfr expressed in bladder cancer cell lines. At any given time, more than 600,000 in the us bladder cancer is the fourth most common malignancy in men. Bladder cancer is one of the most prevalent solid tumors. Treatment of bladder cancer depends on the stage of the cancer. Bladder cancer is any of several types of cancer arising from the tissues of the urinary bladder. Get access to 1,000+ medical articles with instant. Bladder cancer is three times. The most common histological type or urinary tract cancer is urothelial cancer; Urinary tract cancer can involve the bladder (most common), renal pelvis, ureters, and urethra (rare). Treatment options include different types of surgery (transurethral resection, radical and partial cystectomy, and urinary diversion). Learn more about bladder cancer staging now. The stage of bladder cancer is based on the location and size of ...
Diabetes Type 2 Icd 10 . Type 2 diabetes, the most common type of diabetes, is a disease that occurs when your blood glucose, also called blood sugar, is too high. Icd 10 code for diabetes type 2 with neurological complications. Have you come across a form of diabetes with an unusual presentation or a rare underlying cause? Revised definition to support alphabetic index and presumed causal relationships with the · coronary artery disease · peripheral vascular disease · abdominal aortic aneurysm · carotid artery disease · diabetes mellitus, type 2 · sleep. Type 2 diabetes is a disorder characterized by abnormally high blood sugar levels. Type 2 diabetes mellitus with unspecified complications. Icd 10 code for diabetes type 2 with ophthalmic complications. Type 2 diabetes mellitus with other diabetic kidney complication type 2 diabetes mellitus with unspecified diabetic retinopathy with macular edema type 2 chronic obstructive pulmonary disease (copd) icd 10 code descript...
Komentar
Posting Komentar