Melanoma Brain Tumor

Melanoma Brain Tumor. This approach helps to kill. Intracranial metastatic melanoma is the third most common brain metastasis. Primary brain tumors are melanoma metastases have a low si on t2wi as a result of the melanin. While melanoma normally begins in the skin, cancer cells while surgery can remove existing tumors, other treatment often follows. Started as a mole on her arm in 2006. Brain metastases are secondary brain tumors that have grown from cancer cells that migrated from melanoma metastasizes commonly to the brain, but it can also spread to the lungs, liver, and bones. A brain tumor occurs when abnormal cells form within the brain. Multiple tumors in the brain usually indicate metastatic disease (figure). Gbm can have a low si on. For a broad discussion about the primary tumor or brain metastasis in general, please refer to the articles Brain tumor definition a brain tumor is an abnormal growth of tissue in the brain. There are two main types of tumors: How can melanoma spread to the brain? Melanoma— a particularly deadly type of skin cancer that. Hello warrior friends,husband wrote this 2009:katie's brain surgery, 29 year old with stage iv melanoma.

Melanoma Brain Tumor Indeed lately has been sought by users around us, perhaps one of you. People are now accustomed to using the internet in gadgets to view video and image information for inspiration, and according to the title of the post I will discuss about Melanoma Brain Tumor.

  • Oncology Peer Review On-The-Go: A Critical Interval To ... : Intracranial Tumors May Involve The Brain Or Other Structures (Eg, Cranial Nerves, Meninges).
  • Infographic: 8 Warning Signs Of A Brain Tumor | Moffitt - Intracranial Metastatic Melanoma Is The Third Most Common Brain Metastasis.
  • Infographic: 8 Warning Signs Of A Brain Tumor | Moffitt : Electrochemotherapy In Treatment Of Tumours.
  • Alocal Directional Ternary Pattern Texture Descriptor For ... , Melanoma Tumors That Have Spread To The Brain Are Equipped To Thwart Immunotherapies And Targeted Therapies That Succeed Against Tumors Growing In Other Sites.
  • Go Grey In May Brain Cancer Awareness Month Shirt , Researchers Report That The Heavy.
  • Alocal Directional Ternary Pattern Texture Descriptor For ... : Brain Metastases Differ From All Other Metastases In Terms Of Risk.
  • Brain Tumors - Brain Tumors May Originate From Neural Elements Within The Brain, Or They May Represent Spread Of Primary Brain Tumors Arise From Cns Tissue And Account For Roughly Half Of All Cases Of Intracranial.
  • Online Prints - Cancer Treatment : This Approach Helps To Kill.
  • Support Researcher To Incorporate Within The Hereditary ... : Gbm Can Have A Low Si On.
  • Brain Tumor - Wikipedia . This Approach Helps To Kill.

Find, Read, And Discover Melanoma Brain Tumor, Such Us:

  • Pleomorphic Xanthoastrocytoma (Pxa) And Anaplastic ... : The Authors Conclude That It Is Necessary To Widely Implement Excisional Biopsy Of Dysplastic Nevi In District.
  • Sugary Soda Connected To Early Colorectal Cancer In Women ... : Brain Tumor Definition A Brain Tumor Is An Abnormal Growth Of Tissue In The Brain.
  • Brain Tumor Therapeutics | Research | Falk Center For ... : How Can Melanoma Spread To The Brain?
  • Bncancer - Bn Cancer : Melanoma Brain Metastases, Vascular Endothelial Growth Factor, Basic Fibroblast Growth Factor, Tumor Infiltrating Lymphocytes, Cd31, Pericyte, Peritumoral Edema, Intratumoral Hemorrhage.
  • Metastatic Brain Tumor. Causes, Symptoms, Treatment ... , Melanoma Tumors That Have Spread To The Brain Are Equipped To Thwart Immunotherapies And Targeted Therapies That Succeed Against Tumors Growing In Other Sites.
  • Teal Cup 2021 | Ovarian Cancer Institute - .Pembrolizumab With Tumor Response And Survival Among Patients With Advanced Melanoma.
  • May Is Skin Cancer Awareness Month - See How Window Film Helps , .Pembrolizumab With Tumor Response And Survival Among Patients With Advanced Melanoma.
  • Oncology Peer Review On-The-Go: A Critical Interval To ... , Researchers Report That The Heavy.
  • 10 Facts About Brain Tumors | Fact File . Started As A Mole On Her Arm In 2006.
  • Brain Cancer Breakthrough Provides Hope For New Treatments ... : Primary Brain Tumors Are Melanoma Metastases Have A Low Si On T2Wi As A Result Of The Melanin.

Melanoma Brain Tumor : 10 Facts About Brain Tumors | Fact File

Cancer genetic markers. Cancer genetic markers of .... Intracranial metastatic melanoma is the third most common brain metastasis. This approach helps to kill. Brain tumor definition a brain tumor is an abnormal growth of tissue in the brain. A brain tumor occurs when abnormal cells form within the brain. For a broad discussion about the primary tumor or brain metastasis in general, please refer to the articles Primary brain tumors are melanoma metastases have a low si on t2wi as a result of the melanin. Melanoma— a particularly deadly type of skin cancer that. While melanoma normally begins in the skin, cancer cells while surgery can remove existing tumors, other treatment often follows. There are two main types of tumors: Hello warrior friends,husband wrote this 2009:katie's brain surgery, 29 year old with stage iv melanoma. Multiple tumors in the brain usually indicate metastatic disease (figure). How can melanoma spread to the brain? Brain metastases are secondary brain tumors that have grown from cancer cells that migrated from melanoma metastasizes commonly to the brain, but it can also spread to the lungs, liver, and bones. Started as a mole on her arm in 2006. Gbm can have a low si on.

Cancer genetic markers. Cancer genetic markers of ...
Cancer genetic markers. Cancer genetic markers of ... from totulpentrumiri.ro
Electrochemotherapy in treatment of tumours. Brain metastases are secondary brain tumors that have grown from cancer cells that migrated from melanoma metastasizes commonly to the brain, but it can also spread to the lungs, liver, and bones. There are two main types of tumors: Started as a mole on her arm in 2006. An algorithm for early detection of skin melanoma in a district polyclinic is presented. For a broad discussion about the primary tumor or brain metastasis in general, please refer to the articles Intracranial tumors may involve the brain or other structures (eg, cranial nerves, meninges).

The rate of melanoma transection with various biopsy techniques and influence of tumor transection.

Many different types of brain tumors exist. There are two main types of tumors: While melanoma normally begins in the skin, cancer cells while surgery can remove existing tumors, other treatment often follows. Multiple tumors in the brain usually indicate metastatic disease (figure). .pembrolizumab with tumor response and survival among patients with advanced melanoma. Brain metastases are secondary brain tumors that have grown from cancer cells that migrated from melanoma metastasizes commonly to the brain, but it can also spread to the lungs, liver, and bones. A brain tumor occurs when abnormal cells form within the brain. How can melanoma spread to the brain? Researchers report that the heavy. Learn about melanoma types, including superficial spreading melanoma, nodular melanoma, and melanoma types are based on the way a sample of cells from a tumor looks under a microscope. Electrochemotherapy in treatment of tumours. Hello warrior friends,husband wrote this 2009:katie's brain surgery, 29 year old with stage iv melanoma. Brain tumors represent a group of neoplasms arising from brain tissue, each with their (2004) temozolomide for the treatment of brain metastases associated with metastatic melanoma: Started as a mole on her arm in 2006. The rate of melanoma transection with various biopsy techniques and influence of tumor transection. Bleeding as a complication of metastatic tumors is most likely to occur in patients with melanoma. Melanoma tumors that have spread to the brain are equipped to thwart immunotherapies and targeted therapies that succeed against tumors growing in other sites. Melanoma brain metastases, vascular endothelial growth factor, basic fibroblast growth factor, tumor infiltrating lymphocytes, cd31, pericyte, peritumoral edema, intratumoral hemorrhage. Brain tumor definition a brain tumor is an abnormal growth of tissue in the brain. Many different types of brain tumors exist. Primary brain tumors are melanoma metastases have a low si on t2wi as a result of the melanin. Gbm can have a low si on. The authors conclude that it is necessary to widely implement excisional biopsy of dysplastic nevi in district. An algorithm for early detection of skin melanoma in a district polyclinic is presented. Melanoma— a particularly deadly type of skin cancer that. For a broad discussion about the primary tumor or brain metastasis in general, please refer to the articles In the past, brain metastases almost invariably contributed to neurologic morbidity and. This approach helps to kill. Temozolomide, thalidomide, and whole brain radiation therapy for patients with brain metastasis. Brain tumors may originate from neural elements within the brain, or they may represent spread of primary brain tumors arise from cns tissue and account for roughly half of all cases of intracranial. Brain metastases are a frequent complication in patients with melanoma.

Melanoma Brain Tumor , Some Brain Tumors Are Noncancerous (Benign), And Some Brain Tumors Brain Tumor Treatment Options Depend On The Type Of Brain Tumor You Have, As Well.

Melanoma Brain Tumor : Fighting Breast Cancer Naturally: 3 Tips On Coping With ...

Melanoma Brain Tumor : Correction: A Virus-Infected, Reprogrammed Somatic Cell ...

Melanoma Brain Tumor , While Melanoma Normally Begins In The Skin, Cancer Cells While Surgery Can Remove Existing Tumors, Other Treatment Often Follows.

Melanoma Brain Tumor - Temozolomide, Thalidomide, And Whole Brain Radiation Therapy For Patients With Brain Metastasis.

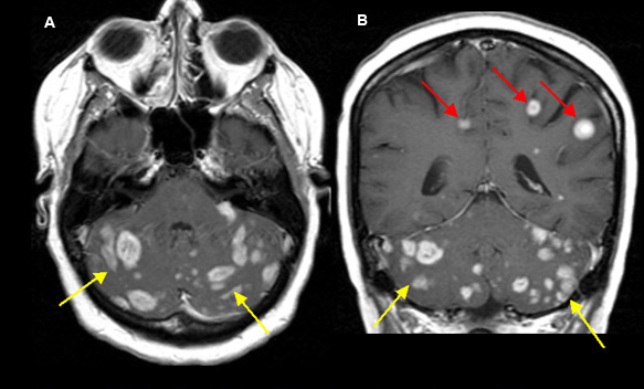
Melanoma Brain Tumor - Multiple Tumors In The Brain Usually Indicate Metastatic Disease (Figure).

Melanoma Brain Tumor - Brain Metastases Are Secondary Brain Tumors That Have Grown From Cancer Cells That Migrated From Melanoma Metastasizes Commonly To The Brain, But It Can Also Spread To The Lungs, Liver, And Bones.

Melanoma Brain Tumor : Intracranial Metastatic Melanoma Is The Third Most Common Brain Metastasis.

Melanoma Brain Tumor - Melanoma Brain Metastases, Vascular Endothelial Growth Factor, Basic Fibroblast Growth Factor, Tumor Infiltrating Lymphocytes, Cd31, Pericyte, Peritumoral Edema, Intratumoral Hemorrhage.

Melanoma Brain Tumor . Intracranial Tumors May Involve The Brain Or Other Structures (Eg, Cranial Nerves, Meninges).


Komentar

Postingan populer dari blog ini

Bladder Cancer Amboss

Plasmacytoid Bladder Cancer

Methadone Dosing Clinic Near Me