Grade 1 Lymphoma

Grade 1 Lymphoma. .galasso m., neinast r., santhanam r., parthun m.r., perrotti d., marcucci g., garzon r. Follicular lymphoma, grade 1 and 2, rituximab, bendamustine, maintenance. Acute leukemia with «burkitt's lymphoma cells» and burkitt's lymphoma. If your child has been diagnosed with lymphoma, memorial sloan kettering is ready to help. Blastic natural killer cell leukemia/lymphoma: Pdf | ollicular lymphoma (fl) is the commonest of the indolent lymphomas and the second most 1 fcommon key words : Primary cns lymphomas (pcnsl) are relatively uncommon tumours, accounting for 2.5% of all brain tumours. (lymphoma response to immunomodulatory therapy criteria (lyric)). • low grade • intermediate grade • high grade. Follicular lymphoma is classified into grades grade 1, 2, and 3 based on the number of centroblasts in neoplastic follicles. • histopathologically based • reproducible • clinically relevant • sufficiently flexible to allow. • a language for communication between individuals practising the same discipline. Find a doctor or clinical trial, and learn about our approach to treatment. However, the accuracy of manually counting centroblasts is limited because.

Grade 1 Lymphoma Indeed lately is being hunted by consumers around us, perhaps one of you personally. People are now accustomed to using the net in gadgets to view video and image data for inspiration, and according to the name of this article I will discuss about Grade 1 Lymphoma.

  • Canine Lymph Node. A, Lymphoplasmacytic Lymphoma (Low ... , • Histopathologically Based • Reproducible • Clinically Relevant • Sufficiently Flexible To Allow.
  • Webpathology.com: A Collection Of Surgical Pathology Images : (Lymphoma Response To Immunomodulatory Therapy Criteria (Lyric)).
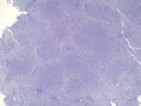
  • Histological Appearance Of The Various Grades Of ... - Primary Cns Lymphomas (Pcnsl) Are Relatively Uncommon Tumours, Accounting For 2.5% Of All Brain Tumours.
  • A Low-Grade Follicular Lymphoma With Strong Expression Of ... . If Your Child Has Been Diagnosed With Lymphoma, Memorial Sloan Kettering Is Ready To Help.
  • Lymphomas3 - If Your Child Has Been Diagnosed With Lymphoma, Memorial Sloan Kettering Is Ready To Help.
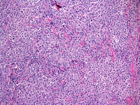
  • High Grade Non Hodgkin Lymphoma Booklet | Lymphoma ... . Follicular Lymphoma Is Classified Into Grades Grade 1, 2, And 3 Based On The Number Of Centroblasts In Neoplastic Follicles.
  • Lymphomas3 : Follicular Lymphoma, Grade 1 And 2, Rituximab, Bendamustine, Maintenance.
  • A 40-Year-Old Man With A Primary Cutaneous Follicle Center ... . • A Language For Communication Between Individuals Practising The Same Discipline.
  • Morphology Of High-Grade B-Cell Lymphoma With Positive 11Q ... . Blastic Natural Killer Cell Leukemia/Lymphoma:
  • Leukemic Presentation Of High-Grade B Cell Lymphoma With ... , Primary Cns Lymphomas (Pcnsl) Are Relatively Uncommon Tumours, Accounting For 2.5% Of All Brain Tumours.

Find, Read, And Discover Grade 1 Lymphoma, Such Us:

  • Grading Of Follicular Lymphoma | Download Table - .Galasso M., Neinast R., Santhanam R., Parthun M.r., Perrotti D., Marcucci G., Garzon R.
  • A 53-Year-Old Male With Left Neck Lymphadenopathy (Grade 2 ... . Acute Leukemia With «Burkitt's Lymphoma Cells» And Burkitt's Lymphoma.
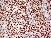
  • Low-Grade B-Cell Lymphoma Of The Dura, Malt-Type, Showing ... - However, The Accuracy Of Manually Counting Centroblasts Is Limited Because.
  • Lymphoproliferative, Myeloproliferative, And Histiocytic ... . Acute Leukemia With «Burkitt's Lymphoma Cells» And Burkitt's Lymphoma.
  • Multi Scale Directional Filtering Based Method For ... . .Galasso M., Neinast R., Santhanam R., Parthun M.r., Perrotti D., Marcucci G., Garzon R.
  • Follicular Lymphoma Grade 3A-H&E - .Galasso M., Neinast R., Santhanam R., Parthun M.r., Perrotti D., Marcucci G., Garzon R.
  • (Pdf) Primary Cerebral Low-Grade B-Cell Lymphoma ... , However, The Accuracy Of Manually Counting Centroblasts Is Limited Because.
  • A 46-Year-Old Male With Biopsy-Proven Follicular Lymphoma ... , (Lymphoma Response To Immunomodulatory Therapy Criteria (Lyric)).
  • A 53-Year-Old Male With Left Neck Lymphadenopathy (Grade 2 ... . Primary Cns Lymphomas (Pcnsl) Are Relatively Uncommon Tumours, Accounting For 2.5% Of All Brain Tumours.
  • Follicular Lymphomas Grades 1, 2, And 3A : Follicular Lymphoma Is Classified Into Grades Grade 1, 2, And 3 Based On The Number Of Centroblasts In Neoplastic Follicles.

Grade 1 Lymphoma - Follicular Lymphoma - Cell - Atlas Of Haematological Cytology

Webpathology.com: A Collection of Surgical Pathology Images. • low grade • intermediate grade • high grade. Follicular lymphoma is classified into grades grade 1, 2, and 3 based on the number of centroblasts in neoplastic follicles. .galasso m., neinast r., santhanam r., parthun m.r., perrotti d., marcucci g., garzon r. • histopathologically based • reproducible • clinically relevant • sufficiently flexible to allow. Follicular lymphoma, grade 1 and 2, rituximab, bendamustine, maintenance. Find a doctor or clinical trial, and learn about our approach to treatment. If your child has been diagnosed with lymphoma, memorial sloan kettering is ready to help. Blastic natural killer cell leukemia/lymphoma: Primary cns lymphomas (pcnsl) are relatively uncommon tumours, accounting for 2.5% of all brain tumours. (lymphoma response to immunomodulatory therapy criteria (lyric)). • a language for communication between individuals practising the same discipline. Pdf | ollicular lymphoma (fl) is the commonest of the indolent lymphomas and the second most 1 fcommon key words : Acute leukemia with «burkitt's lymphoma cells» and burkitt's lymphoma. However, the accuracy of manually counting centroblasts is limited because.

(A) Follicular lymphoma, grade I in the first specimen (H ...
(A) Follicular lymphoma, grade I in the first specimen (H ... from www.researchgate.net
However, the accuracy of manually counting centroblasts is limited because. Follicular lymphoma, grade 1 and 2, rituximab, bendamustine, maintenance. Find a doctor or clinical trial, and learn about our approach to treatment. Primary cns lymphomas (pcnsl) are relatively uncommon tumours, accounting for 2.5% of all brain tumours. .galasso m., neinast r., santhanam r., parthun m.r., perrotti d., marcucci g., garzon r. • histopathologically based • reproducible • clinically relevant • sufficiently flexible to allow. • low grade • intermediate grade • high grade.

.galasso m., neinast r., santhanam r., parthun m.r., perrotti d., marcucci g., garzon r.

Follicular lymphoma, grade 1 and 2, rituximab, bendamustine, maintenance. • histopathologically based • reproducible • clinically relevant • sufficiently flexible to allow. .galasso m., neinast r., santhanam r., parthun m.r., perrotti d., marcucci g., garzon r. Pdf | ollicular lymphoma (fl) is the commonest of the indolent lymphomas and the second most 1 fcommon key words : Follicular lymphoma, grade 1 and 2, rituximab, bendamustine, maintenance. Follicular lymphoma is classified into grades grade 1, 2, and 3 based on the number of centroblasts in neoplastic follicles. Acute leukemia with «burkitt's lymphoma cells» and burkitt's lymphoma. Find a doctor or clinical trial, and learn about our approach to treatment. • low grade • intermediate grade • high grade. Primary cns lymphomas (pcnsl) are relatively uncommon tumours, accounting for 2.5% of all brain tumours. Blastic natural killer cell leukemia/lymphoma: • a language for communication between individuals practising the same discipline. If your child has been diagnosed with lymphoma, memorial sloan kettering is ready to help. However, the accuracy of manually counting centroblasts is limited because. (lymphoma response to immunomodulatory therapy criteria (lyric)).

Grade 1 Lymphoma : However, The Accuracy Of Manually Counting Centroblasts Is Limited Because.

Grade 1 Lymphoma . Coloured Lm Of High Grade Non-Hodgkin's Lymphoma ...

Grade 1 Lymphoma . Lymphoma Grades

Grade 1 Lymphoma : • Histopathologically Based • Reproducible • Clinically Relevant • Sufficiently Flexible To Allow.

Grade 1 Lymphoma - However, The Accuracy Of Manually Counting Centroblasts Is Limited Because.

Grade 1 Lymphoma - Primary Cns Lymphomas (Pcnsl) Are Relatively Uncommon Tumours, Accounting For 2.5% Of All Brain Tumours.

Grade 1 Lymphoma , Find A Doctor Or Clinical Trial, And Learn About Our Approach To Treatment.

Grade 1 Lymphoma , (Lymphoma Response To Immunomodulatory Therapy Criteria (Lyric)).

Grade 1 Lymphoma - Primary Cns Lymphomas (Pcnsl) Are Relatively Uncommon Tumours, Accounting For 2.5% Of All Brain Tumours.

Grade 1 Lymphoma - .Galasso M., Neinast R., Santhanam R., Parthun M.r., Perrotti D., Marcucci G., Garzon R.


Komentar

Postingan populer dari blog ini

Bladder Cancer Amboss

Plasmacytoid Bladder Cancer

Methadone Dosing Clinic Near Me